google-tag-manager-script
Request An Appointment
6311 Kingston Pike Ste 8W Knoxville, TN 37919
Call Us Today
865-584-8630
Call Us
Our Location
Email Us
Toggle navigation
Menu
Home
About Us
Meet Dr. Erpenbach
Meet Our Team
Tour Our Office
Our Philosophy
Our Technology
Services
Cosmetic Dentistry
Porcelain Veneers
Prepless Veneers
ClearCorrect Invisible Braces
Teeth Whitening
Restorative Dentistry
Dental Implants
Dental Crowns & Bridges
Dentures and Partials
More Services
Family Dentistry
Biomimetic Dentistry
An Overview of Biomimetic Dentistry
Oral-Systemic Dentistry
No More Hygiene
Gum Disease Treatment
Laser Dentistry
TMD/TMJ Treatment
Ivermectin for Humans
Reviews
Leave A Review
Smile Gallery
Patient Info
Patient Forms
Dental Health Resources
Patient Login
Blog
Contact Us
Request An Appointment
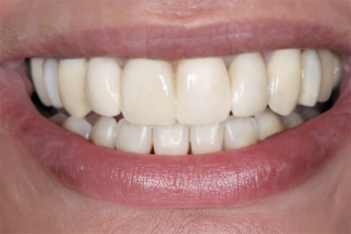
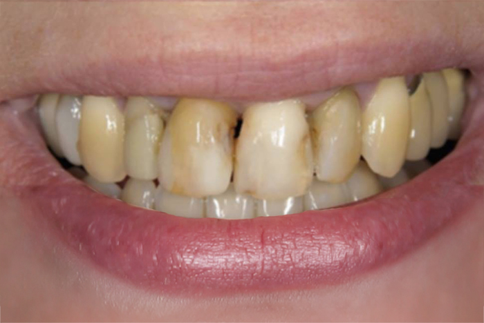
Smile Gallery
Before
After
Before
After
Before
After
NagiosCheckValue - Do not remove please